Notice: Welcome to
TinyChan, an account has automatically been created and assigned to you, you don't have to register or log in to use the board, but don't clear your cookies unless you have
set a memorable name and password. Alternatively, you can
restore your ID. The use of this site requires cookies to be enabled; please cease browsing this site if you don't consent.
Topic: If you are a dentist click here. If not stay out!
+Anonymous A — 5.1 years ago #58,844

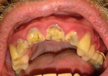
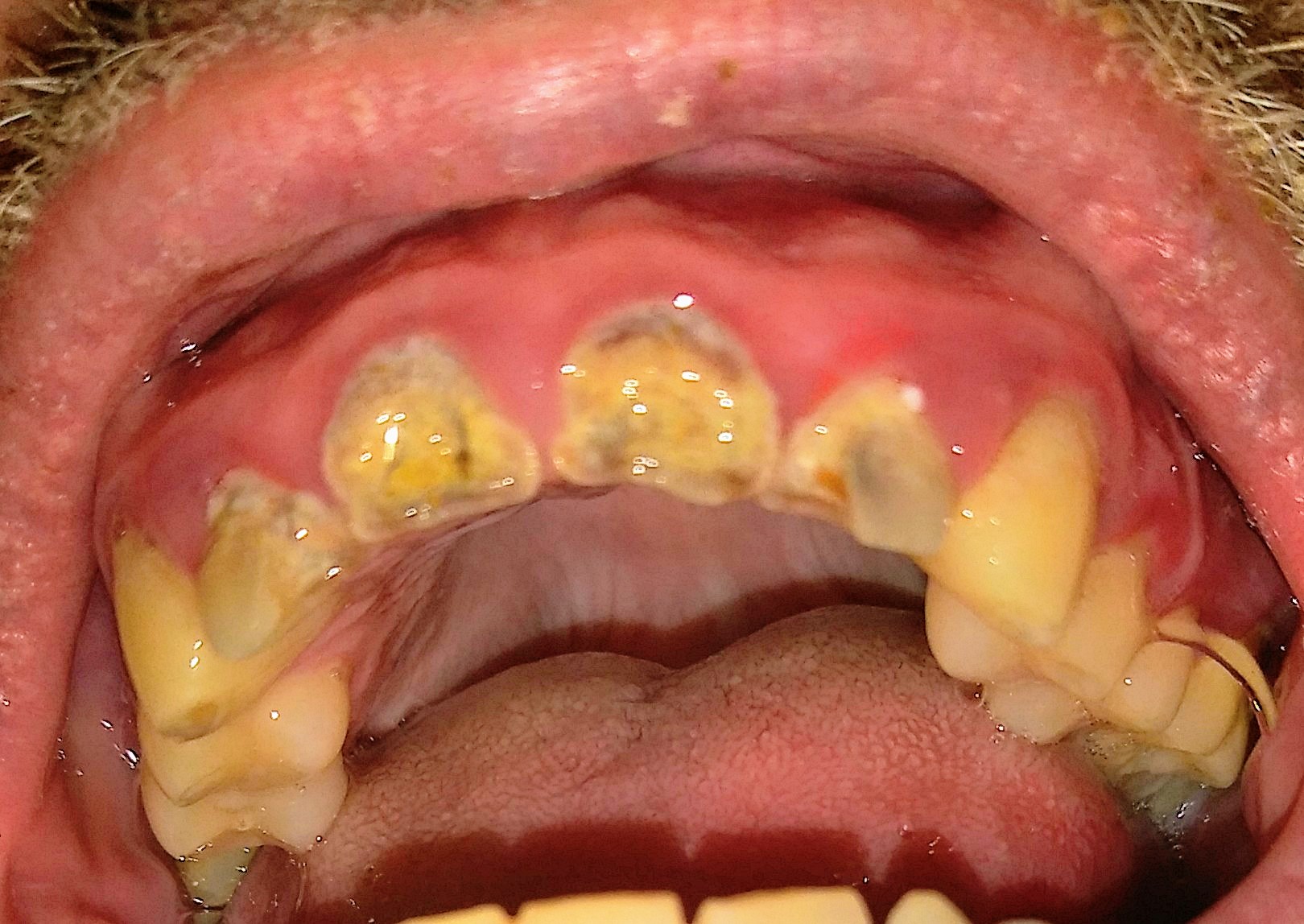
I'm 39 years old and been neglecting my teeth for a long time. What's the best treatment? Cost is a factor.
·Anonymous A (OP) — 5.1 years ago, 32 seconds later[T] [B] #607,746
+Anonymous B — 5.1 years ago, 19 minutes later, 20 minutes after the original post[T] [B] #607,747
Full mouth extraction and porcelain teeth.
Also take care of your damn teeth.
+Anonymous C — 5.1 years ago, 7 minutes later, 27 minutes after the original post[T] [B] #607,749
Where is she
·Anonymous B — 5.1 years ago, 46 minutes later, 1 hour after the original post[T] [B] #607,754
Start a new topic to continue this conversation.
Or browse the latest topics.